نظرة عامة
بفضل مزيجها الأمثل من الأداء العالي والتطبيقات السريرية الشاملة والتصميم المتكامل، سيساعدك جهاز Z50 على الاستجابة بشكل أسرع وأكثر فعالية. أصبح الانتقال من نظام الأبيض والأسود إلى نظام دوبلر الملون عالي الكفاءة أسهل وأبسط من أي وقت مضى، مما يتيح لك تجاوز الحدود والارتقاء بمستوى الرعاية الصحية للمرضى.
PSHTM (التصوير التوافقي بإزاحة الطور)
- التصوير التوافقي المنقى لتحسين دقة التباين، مما يوفر صورًا أكثر وضوحًا بدقة ممتازة وضوضاء أقل.
آي بيم™
- يسمح باستخدام زوايا مسح متعددة لتكوين صورة واحدة، مما يؤدي إلى تحسين دقة التباين وتحسين الرؤية.
آي كلير™
- تحسين جودة الصورة بفضل الكشف التلقائي عن البنية
- حواف أكثر وضوحًا واستمرارية
- أنسجة ناعمة ومتجانسة
- مناطق خالية من الصدى أكثر نقاءً
iLive
- من خلال دمج خوارزمية إسقاط الأشعة مع أسلوب إضاءة افتراضي جديد، يقوم iLive بإنشاء عرض واقعي بشكل مذهل للجنين مع صور تشبه جلد الإنسان.
الوجه الذكي
- يوفر جهاز Z50 الجديد تحسينًا سريعًا وذكيًا لوجه الجنين بلمسة واحدة فقط. فهو قادر على إزالة التشويش في بيانات الحجم، والتخلص من معلومات الضوضاء غير المرغوب فيها، وإنشاء صورة مثالية لوجه الجنين بأقل جهد.
سمارت أو بي
- القياس التلقائي لمعايير الجنين: تتبع وحساب BPD و OFD و HC و HUM و AC و FL بنقرة واحدة.
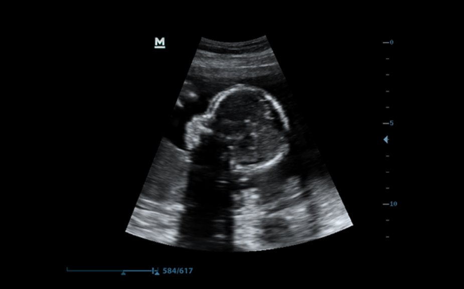
التصوير ثلاثي/رباعي الأبعاد
- يتضمن ميزات الانعكاس والمزامنة ثلاثية/رباعية الأبعاد التي توفر عرضًا سريعًا وسهلاً لحجم الصورة من أي اتجاه
آي سكيب™
احصل على رؤية كاملة وموسعة للهيكل التشريحي من خلال التصوير البانورامي المقترن بمؤشر السرعة وإمكانية المسح الأمامي/الخلفي مما يجعل المسح أسهل وأكثر سلاسة وقابلية للتحكم.
مجال الرؤية السابق
- اكتشف معلومات تشخيصية أفضل من خلال عرض موسع للبنية التشريحية على جميع المجسات المحدبة والخطية.
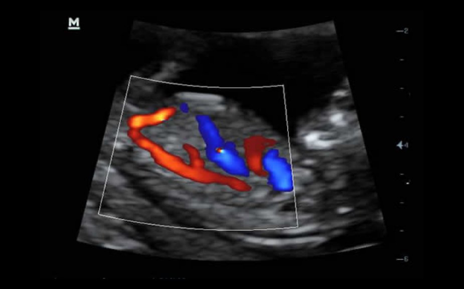
B-Steer™
أداتك لإجراء خزعة أعمق: تسمح بإجراء تعديلات على خط المسح للحصول على رؤية أفضل للإبرة والأعصاب والأوعية الدموية الصغيرة
آي بيج™
- وظيفة عرض تشبه التصوير المقطعي المحوسب لعرض بيانات الحجم في صور ثنائية الأبعاد متوازية متعددة لتفسير الهياكل التشريحية بشكل فعال.
iStorage™
- نقل الصور والتقارير مباشرة إلى جهاز الكمبيوتر عبر كابل الشبكة.
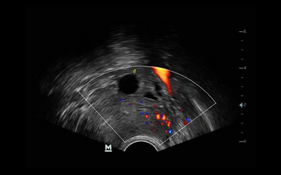
IMT (سُمك الطبقة الداخلية والمتوسطة)
- قياس تلقائي لسمك الجدار الأمامي والخلفي لتوفير حالة دقيقة للشريان السباتي.
بيئة العمل
- تصميم متكامل لسهولة الحمل والتنقل
- شاشة كاملة مقاس 15 بوصة
- شاشة قابلة للتعديل بزاوية إمالة 60 درجة
- 3 موصلات محول طاقة عالمية كحد أقصى
- قرص صلب بسعة 500 جيجابايت لتخزين بيانات المرضى الكبيرة
- 1.5 ساعة من المسح الضوئي مع بطارية قابلة للشحن
- يمكن وضعها في حقيبة يدوية مريحة لسهولة النقل
آي تاتش™
- احصل على تحسين تلقائي فوري للصور في الوضعين B و PW بنقرة زر واحدة.
بيئة آي ستيشن™
- نظام إدارة معلومات المرضى الفريد من نوعه من Mindray يتيح لك دمج بيانات المرضى ومراجعتها وأرشفتها واسترجاعها بفعالية.
iZoom™
- احصل على عرض ملء الشاشة فوري بنقرة زر واحدة.
iWorks™
أداة ذكية تتيح لك التركيز أكثر على المريض. تساعد في تقليل وقت فحص المريض بشكل كبير من خلال التوحيد القياسي والقدرات التي يحددها المستخدم.
معرض الصور








محولات Transducers



سجّل بياناتك الآن واحصل على زيارة مجانية من فريقنا المتخصص لنساعدك في اختيار الجهاز الطبي المناسب لك بكل ثقة