عزز ثقتك بنفسك بسهولة
نظام تصوير مكتبي عام مخصص
جهاز U50 PE هو نظام تشخيصي بالموجات فوق الصوتية بتقنية دوبلر الملونة، يتميز باقتصاديته وسهولة استخدامه.
يوفر جهاز U50 PE جودة صورة ممتازة وأداءً وظيفيًا عاليًا، مما يمنحك ثقة تشخيصية عالية.
مظهر أنيق
- شاشة LCD عالية الدقة مقاس 12.1 بوصة
- موصلان نشطان وقابلان للتبديل
- بطارية ليثيوم للاستخدام عن بُعد لفترات طويلة
- حامل جل في مكان مناسب
- لوحة تحكم بإضاءة خلفية
- منافذ متعددة للأجهزة الطرفية
تقنيات تصوير مبتكرة
- تقنية تقليل التشويش – تحسين دقة التباين مع الحفاظ على التفاصيل
- تقنية التركيب المكاني – استخدام خطوط رؤية متعددة لتحسين دقة التباين
- تقنية الحزم المتعددة – الحفاظ على معدلات إطارات عالية في جميع الأوضاع، بما في ذلك دوبلر الملون وموجة النبض
- التصوير التوافقي للأنسجة بانعكاس الطور – تقليل تشويش الصورة وتداخلها
- أدوات تحسين الصورة السريعة – تحسين معلمات متعددة بلمسة زر واحدة
- تقنية محول الطاقة متعدد الترددات – دعم ترددات متعددة لتحسين الأداء
سير عمل موجز
- سرعة استجابة عالية في بدء التشغيل والإيقاف
- عمر بطارية يصل إلى 90 دقيقة
- إعدادات مسبقة ذكية قابلة للبرمجة من قِبل المستخدم
- حلول مرنة لأرشفة الصور
وظائف قوية
- بفضل سهولة تشغيله، يوفر جهاز U50 PE مجموعة واسعة من الميزات مثل
- التكبير والتصغير، ودليل الإبرة، والبث المباشر المزدوج، وPW، وCW، وHPRF، وDICOM لتعزيز تجربة المستخدمين.
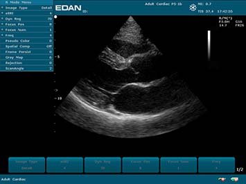
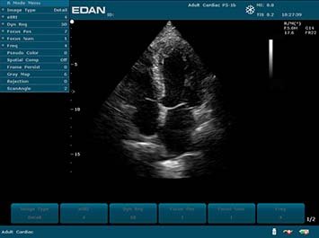
تطبيقات سريرية واسعة
- يتوفر جهاز U50 PE مزودًا بمحولات طاقة ووحدات قياس لدعم
- مجموعة واسعة من التطبيقات، بما في ذلك تطبيقات البطن، وأمراض النساء والتوليد، والأوعية الدموية، والقلب، وطب الأطفال، والأجزاء الصغيرة.
- معرض الصور
سير العمل الذكي
- مُحسَّن إلكترونيًا — تحسين الأداء بضغطة زر واحدة في مختلف الأوضاع
- تتبع تلقائي بتقنية PW — قياس تلقائي بضغطة زر واحدة
- سعة تخزين عالية مع إمكانية نقل البيانات عبر منفذ USB
- تحكم إلكتروني باللمس — تحكم فعال بإيماءات التمرير
- تصميم مبتكر لواجهة المستخدم مع تقسيم دقيق للوظائف.
معرض الصور
















محولات Transducers











سجّل بياناتك الآن واحصل على زيارة مجانية من فريقنا المتخصص لنساعدك في اختيار الجهاز الطبي المناسب لك بكل ثقة